عوارض لمینت دندان چیست؟ روش‌های جلوگیری و مراقبت

عوارض لمینت دندان چیست؟ روش‌های جلوگیری و مراقبت

با توجه به این که زیبایی دندان‌ها یکی از اصلی‌ترین فاکتورهای جذابیت چهره به شمار می‌رود، بسیاری از افراد برای داشتن لبخندی زیباتر، به سراغ روش‌های درمانی و زیبایی مانند لمینت دندان می‌روند. لمینت یا ونیر دندان، لایه‌ای نازک از مواد سرامیکی یا کامپوزیتی است که روی سطح جلویی دندان‌ها قرار می‌گیرد تا رنگ، شکل یا اندازه آن‌ها را اصلاح کند.

هرچند این روش می‌تواند تاثیر چشمگیری در بهبود لبخند داشته باشد، اما در صورتی که به درستی انجام نشود یا مراقبت‌های لازم رعایت نگردد، ممکن است عوارضی به همراه داشته باشد که در این مقاله به بررسی این عوارض لمینت دندان و عوارض لمینت متحرک دندان میپردازیم.

 

موضوع توضیحات
تعریف لمینت لایه نازک سرامیکی/کامپوزیتی روی دندان برای اصلاح رنگ و شکل ظاهری دندان
عوارض اصلی حساسیت به سرما/گرما – آسیب دائمی مینای دندان – تغییر رنگ لبه‌ها – ترک و شکستگی – التهاب لثه – دشواری تشخیص پوسیدگی – مشکلات جویدن
کاهش عوارض انتخاب دندانپزشک مجرب – رعایت بهداشت – پرهیز از مواد سخت – استفاده از نایت‌گارد (برای دندان‌قروچه) – معاینات منظم
گروه‌های پرخطر افراد با دندان‌قروچه، بهداشت ضعیف، بیماری لثه، مینای نازک، عادات مضر (یخ/ناخن)، سیگاری‌ها و مصرف‌کنندگان قهوه و چای

 

 

عوارض لمینت دندان چیست؟

 

مطالعات کلینیکی نشان می‌دهد تنها ۸٪ لمینت‌ها طی ۱۰ سال نخست نیاز به تعویض دارند؛ اما همین درصد کم، در جهانی که لبخند یک دارایی گران‌بهاست، می‌تواند هزینه‌ای چند برابر بار اول روی دوش‌تان بگذارد. در ادامه در پاسخ به سوال ایا لمینت دندان عوارض دارد به مهم‌ترین عوارض لمینت دندان که ممکن است باعث تعویض لمینت شود و دلایل بروز آن‌ها می‌پردازیم.

 

 

حساسیت دندان‌ها

 

یکی از شایع‌ترین عوارض بعد از لمینت دندان، حساسیت دندان به گرما، سرما یا حتی مواد غذایی شیرین و ترش است. دلیل این مورد از عوارض لمینت دندان، تراشیده شدن بخشی از مینای محافظ دندان پیش از نصب لمینت است. این کار باعث نزدیک‌تر شدن لایه عاج به سطح دهان می‌شود که حاوی لوله‌های میکروسکوپی متصل به عصب دندان است.

در اغلب موارد این حساسیت پس از چند هفته یا چند ماه کاهش می‌یابد، اما در برخی افراد ممکن است به‌صورت طولانی‌مدت باقی بماند و کیفیت زندگی فرد را تحت تأثیر قرار دهد.

 

آسیب دائمی به مینای دندان

 

برای این‌که لمینت روی دندان‌ها بنشیند و طبیعی به‌نظر برسد، معمولاً نیاز است بین ۰.۳ تا ۰.۷ میلی‌متر از مینای دندان تراشیده شود. این میزان تراش دندان برای لمینت هرچند کم به‌نظر می‌رسد، اما یک آسیب غیرقابل‌بازگشت به مینای طبیعی دندان است. در صورت افتادن، شکستگی یا نیاز به برداشتن لمینت، دندان‌ها دیگر همان استحکام و محافظت اولیه را نخواهند داشت و در معرض پوسیدگی و تخریب بیشتری قرار می‌گیرند. همچنین در برخی موارد نیاز می‌شود که دندان‌ها روکش کامل شوند که یک درمان تهاجمی‌تر خواهد بود.

 

تغییر رنگ لبه‌های لمینت

 

اگر لمینت با دقت طراحی و نصب نشود یا بیمار به بهداشت دهان و دندان خود بی‌توجهی کند، ممکن است مواد غذایی رنگی، چای، قهوه، سیگار یا سایر عوامل موجب تغییر رنگ در ناحیه اتصال لمینت به دندان شوند. این تغییر رنگ به‌صورت خطوط زرد یا قهوه‌ای در مرز بین دندان و لمینت ظاهر می‌شود که علاوه بر نازیبا کردن ظاهر لبخند، ممکن است نشانه‌ای از نفوذ باکتری‌ها به زیر لمینت باشد.

 

 

ترک‌خوردگی و شکستگی لمینت

 

اگرچه لمینت‌های سرامیکی بسیار مقاوم طراحی می‌شوند، اما باز هم نسبت به فشارها و ضربات ناگهانی آسیب‌پذیر هستند و شکستن لمینیت در اثر این عوامل را میتوان از عوارض لمینت سرامیکی دندان دانست. افرادی که عادت به دندان قروچه (براکسیسم) دارند یا ناخن و اشیاء سفت می‌جوند، بیشتر در معرض ترک یا شکست لمینت قرار دارند. همچنین گاز زدن مستقیم غذاهای سفت مثل یخ، ته‌دیگ یا مغزهای سفت می‌تواند باعث شکستن این پوسته‌های نازک شود که ترمیم آن‌ها هزینه‌بر و زمان‌بر است.

 

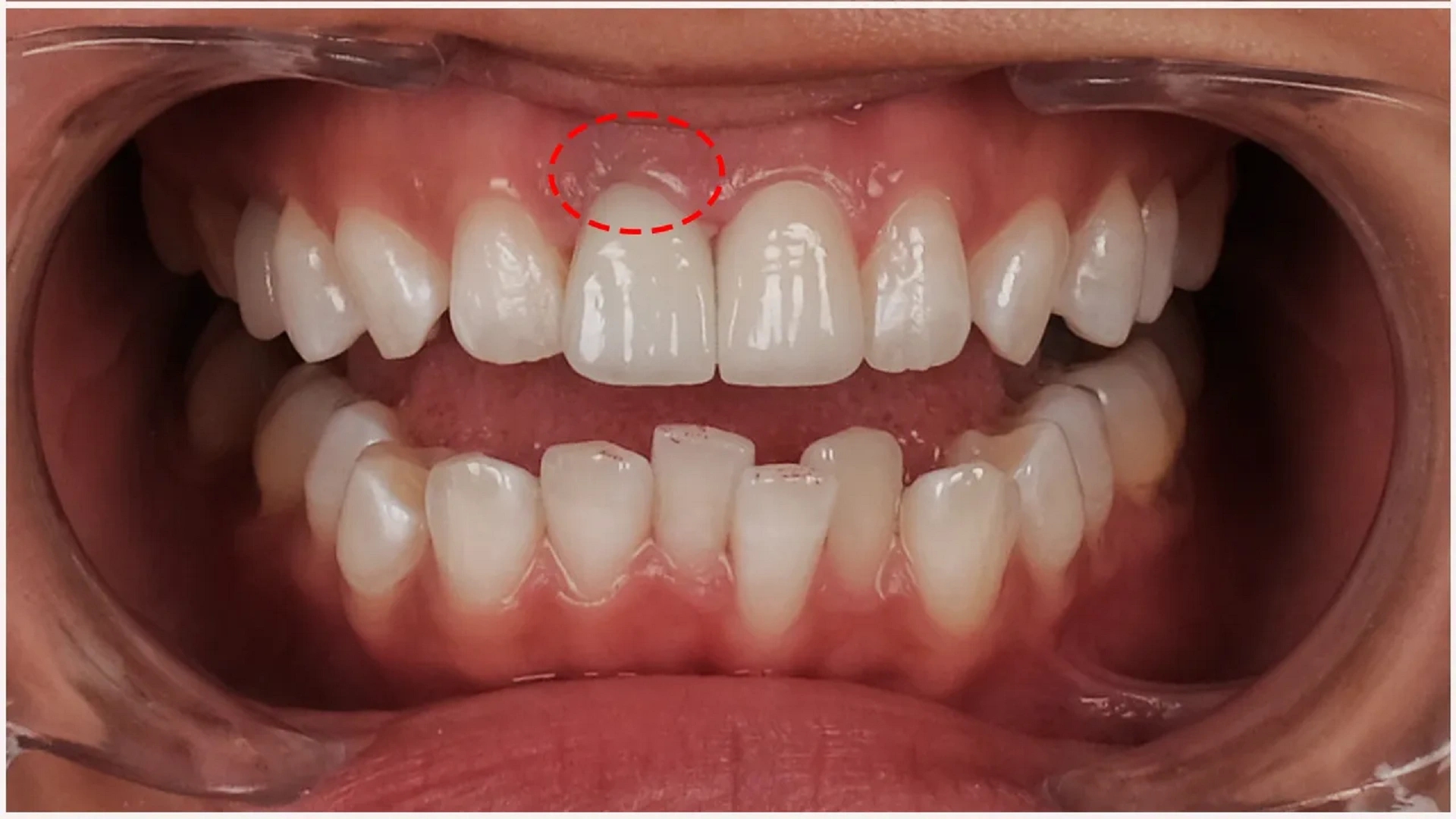
تحریک و التهاب لثه

 

گاهی اوقات لبه‌های لمینت کمی بیرون‌زده یا تیز باقی می‌مانند، یا مواد چسبنده به‌خوبی پرداخت نمی‌شوند. این مشکل می‌تواند باعث تحریک بافت لثه و در نهایت التهاب و خونریزی شود. در درازمدت، التهاب مزمن لثه ممکن است باعث عقب‌رفتن لثه و نمایان شدن ریشه دندان گردد که علاوه بر مشکلات زیبایی، حساسیت و احتمال پوسیدگی ریشه را افزایش می‌دهد.

 

دشواری در تشخیص پوسیدگی‌های زیر لمینت

 

از آنجا که لمینت سطح جلویی دندان را می‌پوشاند، در صورت شروع پوسیدگی در زیر این پوسته، تشخیص زودهنگام آن برای دندان‌پزشک دشوارتر خواهد بود. این موضوع می‌تواند منجر به گسترش پوسیدگی شود تا زمانی که مشکلات جدی‌تری مثل درد شدید یا آبسه بروز پیدا کند.

 

مشکلات احتمالی در جویدن

 

اگر لمینت‌ها به‌طور دقیق از نظر ارتفاع و تماس با دندان‌های مقابل تنظیم نشوند، ممکن است فرد هنگام جویدن یا بستن دهان احساس ناخوشایندی داشته باشد که این یکی از عوارض جانبی لمینت دندان است. این مشکل می‌تواند به مرور باعث درد فک، سردرد یا حتی ساییدگی غیرطبیعی سایر دندان‌ها شود.

 

برای کاهش عوارض لمینت دندان چه کنیم؟

 

برای جلوگیری یا به حداقل رساندن عوارض انواع لمینت روی دندان، می‌توان اقدامات زیر را انجام داد:

  • انتخاب دندانپزشک مجرب: مهم‌ترین قدم برای داشتن لمینتی موفق، انتخاب دندانپزشکی است که در این زمینه تجربه کافی داشته باشد و از تجهیزات و مواد باکیفیت استفاده کند.
  • رعایت بهداشت دهان و دندان: مسواک زدن منظم، استفاده از نخ دندان و دهان‌شویه می‌تواند از پوسیدگی دندان‌ها و بیماری‌های لثه جلوگیری کند.
  • پرهیز از خوردن مواد بسیار سفت: جویدن یخ، آجیل سفت یا باز کردن درب بسته‌ها با دندان می‌تواند باعث ترک خوردن لمینت شود.
  • استفاده از نایت‌گارد: اگر دندان قروچه دارید، حتما شب‌ها از نایت‌گارد (محافظ دندان) استفاده کنید تا فشار کمتری به لمینت‌ها وارد شود.
  • معاینات منظم: مراجعه منظم به دندانپزشک برای بررسی وضعیت لمینت و دندان‌های زیر آن ضروری است.

 

 

چه افرادی بیشتر در معرض عوارض لمینت دندان قرار دارند؟

 

اما برخی افراد به دلیل شرایط خاص دهان و دندان یا عادات نادرست، بیش از دیگران در معرض عوارض لمینت دندان قرار دارند. شناخت این افراد پیش از انجام لمینت می‌تواند به پیشگیری از بسیاری مشکلات کمک کند. همچنین پیشنهاد ما این است که قبل از اقدام به لمینت دندان، نسبت به تفاوت روکش دندان زیرکونیا با لمینت و فرق لمینت با کامپوزیت دندان در میزان عوارض اطلاعات کافی کسب کنید. 

 

افراد دارای دندان قروچه (براکسیسم)

 

کسانی که در خواب یا حتی در بیداری به طور ناخودآگاه دندان‌هایشان را به هم می‌فشارند یا می‌سایند (دندان قروچه دارند)، فشار زیادی به سطح دندان وارد می‌کنند. این موضوع می‌تواند باعث ترک‌خوردگی، لب‌پریدگی یا حتی شکستگی لمینت شود. چنین افرادی باید پیش از لمینت، تحت نظر دندانپزشک از نایت‌گارد یا درمان‌های دیگر استفاده کنند.

 

افرادی با بهداشت دهان و دندان ضعیف

 

رعایت نکردن بهداشت دهان و دندان باعث تجمع پلاک و باکتری‌ها می‌شود که خطر پوسیدگی دندان‌های زیر لمینت یا بیماری‌های لثه را افزایش می‌دهد. این وضعیت می‌تواند در بلندمدت باعث التهاب لثه، عقب‌رفتگی لثه و در نهایت مشکلات جدی‌تر شود.

 

افرادی با بیماری‌های لثه

 

لمینت دندان روی دندان‌های سالم و لثه‌های سالم باید انجام شود. کسانی که دچار التهاب لثه، خونریزی، یا تحلیل لثه هستند، در صورت لمینت، با خطر بیشتر عفونت یا بد فرم شدن ظاهر لبه‌های لمینت مواجه خواهند شد.

 

 

افراد با مینای ضعیف یا نازک

 

چون برای نصب لمینت باید مقداری از مینای دندان تراشیده شود، کسانی که به‌طور طبیعی مینای نازک دارند یا در اثر اسید و ساییدگی مینای دندانشان ضعیف شده است، ممکن است پس از لمینت دچار حساسیت شدید یا آسیب‌های جدی به دندان شوند.

 

افراد دارای عادات دهانی مضر

 

جویدن مداد، یخ، ناخن یا باز کردن بسته‌ها با دندان‌ها فشار غیرعادی به لمینت وارد می‌کند. این عادات می‌توانند باعث شکستگی یا جدا شدن لمینت شوند.

 

افراد سیگاری یا مصرف‌کنندگان مکرر نوشیدنی‌های رنگی

 

سیگار و نوشیدنی‌هایی مثل قهوه و چای باعث تغییر رنگ در لبه‌های لمینت و دندان طبیعی می‌شوند و زیبایی کار را در مدت کوتاهی از بین می‌برند.

به همین دلیل توصیه می‌شود قبل از تصمیم‌گیری برای لمینت، یک معاینه دقیق توسط دندانپزشک انجام شود تا تمامی این موارد بررسی گردد و در صورت نیاز ابتدا مشکلات زمینه‌ای درمان شود. این کار هم عمر لمینت را افزایش می‌دهد و هم احتمال بروز عوارض را به حداقل می‌رساند.

 

جمع بندی

 

لمینت دندان بدون شک یکی از بهترین روش‌ها برای اصلاح طرح لبخند و افزایش جذابیت چهره به شمار می‌رود، اما نباید فراموش کرد که این روش دائمی و غیرقابل بازگشت است و نیاز به مراقبت‌های خاص دارد. آگاهی از عوارض احتمالی و رعایت توصیه‌های دندانپزشک می‌تواند کمک کند تا از این درمان به بهترین شکل بهره‌مند شوید و سال‌ها از زیبایی لبخند خود لذت ببرید.

پس قبل از انجام لمینت، با دندانپزشک خود مشورت کنید، همه جوانب را بسنجید و با دقت به مراقبت‌های بعد از آن پایبند باشید. اگر به دنبال بهترین متخصص لمینت تهران هستید، به کلینیک دکتر عبادیان مراجعه کنید. 

Share

Leave a comment

Your email address will not be published. Required fields are marked *